26 week and Extreme low birth weight babies (800 gramme and 900 gramme)

Frame 453
WhatsApp Image 2026-01-02 at 7.14.01 PM
Frame 454
WhatsApp Image 2026-01-02 at 7.14.01 PM (2)
Frame 454
WhatsApp Image 2026-01-02 at 7.14.02 PM

Twin Baby boys were born very early at 26 weeks and were very small, so they were admitted to the NICU for special care. They had breathing difficulty and were given respiratory & oxygen support, which were slowly reduced as they improved. Tests were done to check for infection, and antibiotics were given. Feeding were started gradually, and both babies tolerated it well. Ultrasound scans were normal. Nutrition supplements were added to help growth. Both babies are now stable, breathing well, and feeding by mouth, and are being discharged with advice for regular follow-up.)

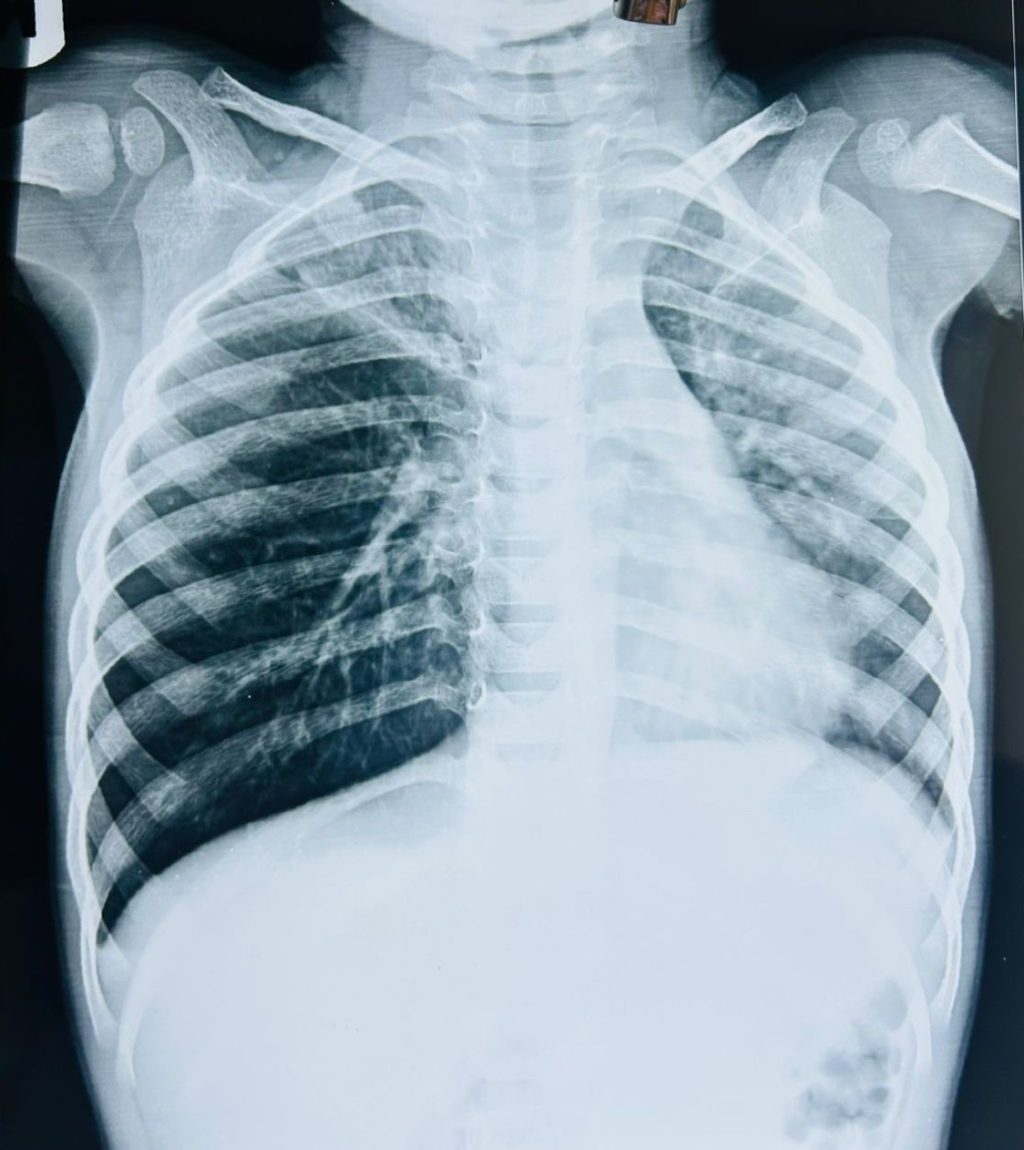
CT SCANNED SUGGESTIVE OF CLE, BRONCHOSCOPY FOUND FOREIGN BODY

WhatsApp Image 2026-03-14 at 11.28.26 PM (1)
WhatsApp Image 2026-03-14 at 11.28.27 PM
WhatsApp Image 2026-03-14 at 11.28.26 PM
WhatsApp Image 2026-03-14 at 11.28.28 PM

(A 2-year-old boy, was admitted because of bad cough, cold ON AND OFF SINCE LAST 1 MONTH AND fever, and fast breathing OF RECENT ORIGIN . On checking, WE found that air was not going properly into his lungs, so he was given WAR oxygen, antibiotics, fluids, and nebulization. Blood tests showed infection. A chest X-ray showed lung infection and swelling of one lung. Since the problem started after eating groundnuts, doctors thought something might be stuck in his breathing pipe. A CT scan was done and showed narrowing of the airway AND  CHANGES OF CONGINITAL LOBAR EMPHYSEMA IN RIGHT SIDE WHICH NEED SURGICAL REMOVAL. So He was sent to a higher hospital FOR SAME, where SURGEON did a bronchoscopy FIRST and found a peanut stuck inside the airway. It was removed, and no surgery was needed. After removal, BABY improved quickly and recovered well. 
Key lesson: (Always look at the child’s symptoms and condition, not only test reports.)

26 weeker and 870 gramms baby

WhatsApp Image 2026-03-28 at 11.32.41 PM
WhatsApp Image 2026-03-28 at 11.32.42 PM
WhatsApp Image 2026-03-28 at 11.32.45 PM
WhatsApp Image 2026-03-28 at 11.32.49 PM

Another baby has been successfully discharged  born at 26 weeks, weighing 870 g. The baby was transferred to the Neoplus NICU, where non-invasive respiratory support was used and breathing gradually improved without surfactant or invasive ventilation. Laboratory tests showed no serious infection, and brain, cardiac (2D echo), and abdominal scans were normal. ROP screening showed some changes. The baby gradually tolerated feeding, the parents were trained, and the baby was discharged on spoon feeds, remaining neurologically stable.

Scroll to Top